
Genetic analysis of endometriotic lesions from 39 patients revealed mutations in cancer driver genes in 26%. In some patients, the same mutation was present in lesions from different sites. The role of mutations in cancer-associated genes in endometriosis needs further study.

In a randomized trial, patients with coronary artery disease underwent PCI guided by either the instantaneous wave-free ratio or fractional flow reserve. At 1 year, iFR-guided PCI was noninferior to FFR-guided PCI with respect to the rate of major adverse cardiac events.
- CME
- Quick Take
- Comments

A 20-year-old man with a history of Crohn’s disease was evaluated for pain and swelling of the left calf and a purpuric rash. Three weeks earlier, sore throat, cough, rhinorrhea, and chills had developed. Diagnostic tests were performed.
- CME

This letter describes islet transplantation onto the omentum with the use of a degradable scaffold in a patient with a 25-year history of type 1 diabetes mellitus. The patient remained insulin-independent for more than 1 year.
- Free Full Text

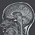
Cerebral hemorrhage and seizures are the main complications of cerebral arteriovenous malformations. The choice of surgery, embolization, or radiosurgery for the treatment of these lesions is made by considering the lesion size, vascular anatomy, and brain region involved.
- CME

Two studies of messenger RNA Zika virus vaccines show that they protect against infection in animal models.
- Free Full Text

BioLINCC is the data repository of the National Heart, Lung, and Blood Institute. This article describes the data from NHLBI trials that are in the repository and how they have been used.
- Free Full Text
- Interactive Graphic
- Free Full Text
- Audio Interview
- Free Full Text
Featured Multimedia
- CME
- Quick Take
- Comments
- Quick Take
- Free Full Text
- Interactive Graphic
- Free Full Text
- CME
- Free Full Text
Perspective
- Free Full Text
- Audio Interview
- Free Full Text
- No corrections published in this issue.
(DOI: 10.1056/NEJMp1704898)
(DOI: 10.1056/NEJMoa1614835)
(DOI: 10.1056/NEJMp1703375)











